位置調整用画像

 

 雨・雪・霧などの悪天候映像、光量不足の暗視映像、逆光の黒つぶれ映像から破綻なく極限まで被写体の詳細を浮き上がらせることをAIで可能にします。

※AI REALFINDERは、AIサポート㈱と小林 正浩氏の共同で開発されたソフトであり、AIサポート㈱が販売権を有しています。

AIリアルファインダー タイトルAI Reralfider画像加工例

●AI REALFINDERを使った画像処理例/蛍 ※カーソルを画像の上に乗せると処理例をご覧いただけます。

AIリアルファインダーの特徴タイトル

AIリアルファインダーの原理タイトル

AIリアルファインダーを使った画像処理例タイトル

※画像をクリックすると拡大画像をご覧いただけます。

●●●防犯管理の画像処理例

AIリアルファインダーを使った画像処理例2ボタン AIリアルファインダーを使った画像処理例1 /

 遠景

AIリアルファインダーを使った画像処理例2ボタン AIリアルファインダーを使った画像処理例2 /

 夕暮の公園

AIリアルファインダーを使った画像処理例3ボタン AIリアルファインダーを使った画像処理例3 /

 逆光

AIリアルファインダーを使った画像処理例2ボタン AIリアルファインダーを使った画像処理例4 /

 馬舎


●●●医療用画像の処理例

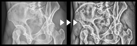
AIリアルファインダーを使った画像処理例5ボタン AIリアルファインダーを使った画像処理例5 /

 X線画線

AIリアルファインダーを使った画像処理例6ボタン AIリアルファインダーを使った画像処理例6 /

 X線画線


●●●維持管理、点検のための画像処理例

AIリアルファインダーを使った画像処理例7ボタン AIリアルファインダーを使った画像処理例7 /

 住宅点検

AIリアルファインダーを使った画像処理例8ボタン AIリアルファインダーを使った画像処理例8 /

 構造物検査


お問い合わせメールフォームへ

AIリアルファインダーを使った映像処理例タイトル

●●●各種映像処理例

※Webサイト閲覧用に縮小して表示しています。

 夕暮れの公園

 夜間の駐車場

 豪雨の中の住宅

 夕暮れの山中



お問い合わせメールフォームへ